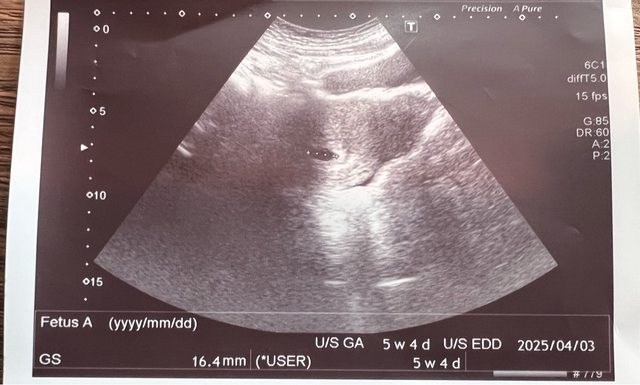
最後一次月經來是6/22 8/5 產檢看醫生 顯示胚囊5w+4d https://i.imgur.com/Ab9QSb4.jpeg
第一次給醫生看的時候 他說有可能有宮外孕的機率 如果這幾天有肚子痛什麼的再回診 8/19 二週後回診 今天有照超音波+內診 因為這超音波時,醫生說我子宮有點後頃 沒有照到東西 就換宮內診 照出來胚囊7w+2d,胚囊變大大概3公分 醫生宮內診有照到卵黃囊,但是沒有心跳 醫生看完後覺得我蠻大的機率是胚胎有問題 第一胎因為在國外生的 那時候也都沒什麼問題 第一次遇到醫生這樣說 整個驚嚇到 要我一週後再回診 說這週有可能會自然流掉 大概跟我說可能遇到的情況 注意有沒有大出血 如果沒有 可能就要安排手術了 今天照的照片忘記拿 有點被嚇到恍神 請問大概需要等幾週在決定要不要手術呢? 我打算週五再掛別的醫院的醫生確認一下 附上第一胎6w的照片 https://i.imgur.com/qlJ5n0e.jpeg
-- ※ 發信站: 批踢踢實業坊(www.pttsite.org.tw), 來自: 220.143.3.202 (臺灣) ※ 文章網址: https://www.pttsite.org.tw/BabyMother/M.1724040170.A.53D
alice850220 : 生了兩胎,第三次懷孕也遇到同樣情況,醫生說這是08/19 12:32
alice850220 : 萎縮性胚胎,其實蠻常見的,也是手術處理,養好身08/19 12:32
alice850220 : 體,現在懷孕10週08/19 12:32
jimmy911112 : 看胚胎大小最慢11週要有心跳,可以換幾間診所照看看08/19 13:38
jimmy911112 : 每個人計算週數多少會有落差,放寬心交給醫師判斷08/19 13:40
punjab: 包養真亂08/19 13:40
hansinell : 了解這種心情,但這階段其實除了先觀察也沒別的辦法08/19 14:02
hansinell : ,過個兩週情況就會明朗了08/19 14:02
Lolira : 初期放寬心,胚胎自然淘汰不算少見 08/19 14:28
Lolira : 要等多久沒有自然流掉需要手術的時間,可以問醫生 08/19 14:29
bmw606042001: 放寬心 正常 一定比例的胚胎就是會這樣 沒有誰的問 08/19 14:52
sashare: 演藝圈一堆包養好嗎 08/19 14:52
bmw606042001: 題 08/19 14:52
redevoted : 7週多沒心跳 可能胚胎不健康,若安排人流手術可驗胚 08/19 18:05
redevoted : 胎檢體 08/19 18:05
wendy10112 : 我是八週多比之前萎縮一點才確定做手術,之前也跑 08/20 09:56
wendy10112 : 兩家醫院,醫生說固定在一家醫院追蹤,量起來比較 08/20 09:56
sijiex: 政治圈一堆包養好嗎 08/20 09:56
wendy10112 : 好判斷是否成長 08/20 09:56
nini761010 : 如果下次檢查有比上次萎縮,就應該是不良胚胎吧 08/20 21:44
vcxio : 我看了四位醫生,最後還是哭著上手術台做流產手術+ 08/21 20:27
vcxio : 自費驗胚胎染色體 08/21 20:27